You are currently viewing Avertisment al cardiologului târgoviștean Țoni Ovidiu: Stenturile se pot înfunda. Tratamentul nu se întrerupe niciodată!

Avertisment al cardiologului târgoviștean Țoni Ovidiu: Stenturile se pot înfunda. Tratamentul nu se întrerupe niciodată!

Cardiologul târgoviștean Țoni Ovidiu atrage atenția asupra riscurilor majore generate de nerespectarea tratamentului recomandat pacienților care au stenturi implantate. Medicul explică faptul că un stent nu reprezintă o vindecare definitivă, iar întreruperea medicației poate duce la complicații severe, inclusiv infarct miocardic.

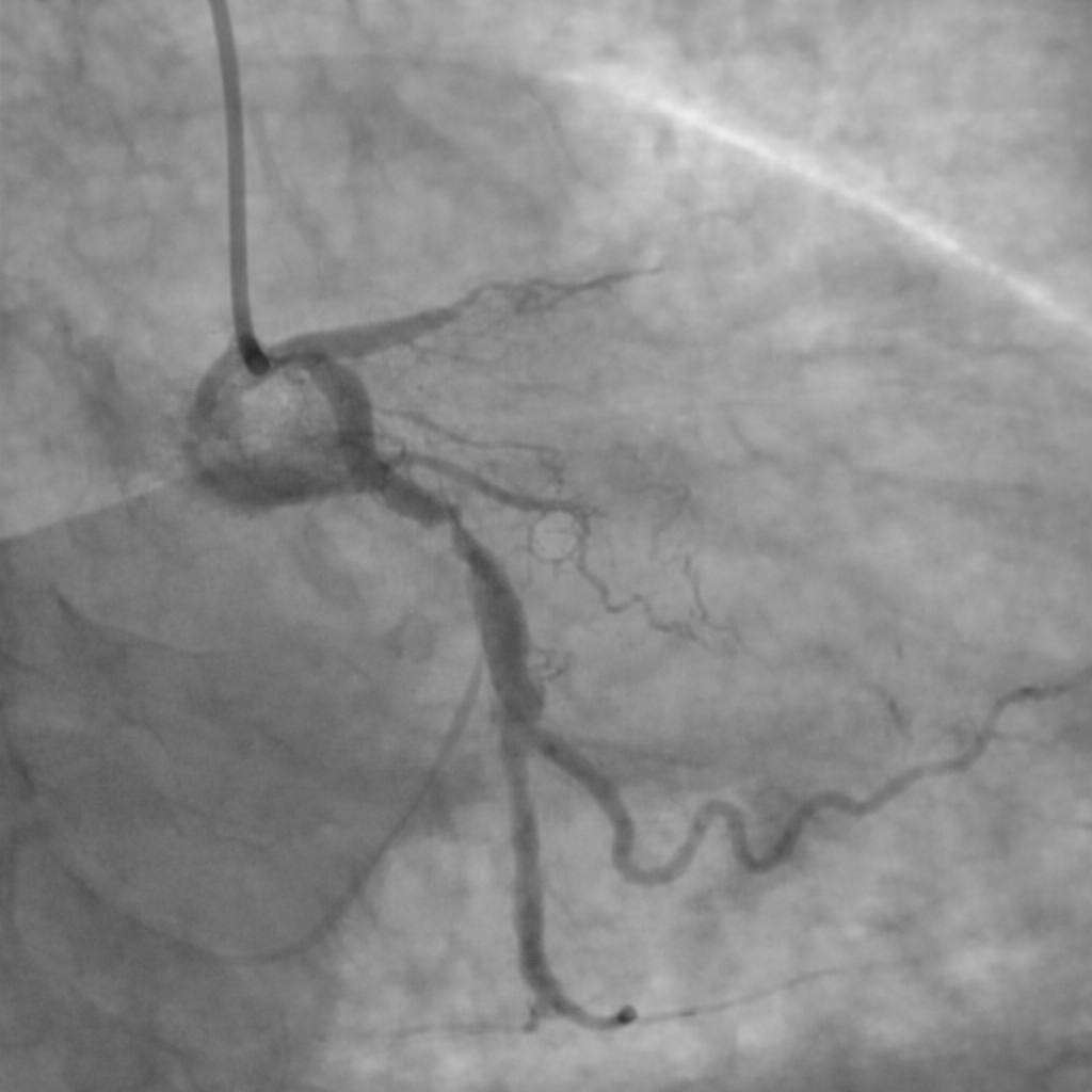
Stenturile se pot înfunda”, subliniază dr. Țoni Ovidiu. Acesta prezintă cazul unui pacient prezentat recent cu infarct miocardic acut, deși avea stenturi implantate de mai mulți ani.

Din păcate, a decis să-și administreze medicația din când în când”, a precizat medicul.

Specialistul explică faptul că, în astfel de situații, apare sternoza intrastent, o îngustare a arterei în interiorul stentului, fenomen care poate fi provocat fie de proliferarea țesutului, fie de tromboza de stent, favorizată direct de întreruperea tratamentului antiagregant.

Implantarea unui stent nu înseamnă vindecare definitivă. Medicația trebuie luată zilnic, corect și pe termen lung. Controalele cardiologice regulate sunt esențiale, iar oprirea tratamentului poate avea consecințe dramatice”, avertizează dr. Țoni Ovidiu.

Medicul încheie cu un mesaj către pacienți: „Stentul funcționează atât timp cât pacientul își face partea lui.”

AUTOR: F.S.